PathoPic – image database / PathoPic ID 4820 - subakuter Myokardinfarkt

de
Diagnose
subakuter Myokardinfarkt
Diagnose Gruppe
vaskulär / Durchblutungsstörung
Topographie
Herz links
Topographie Gruppe
Kardiovaskuläres System
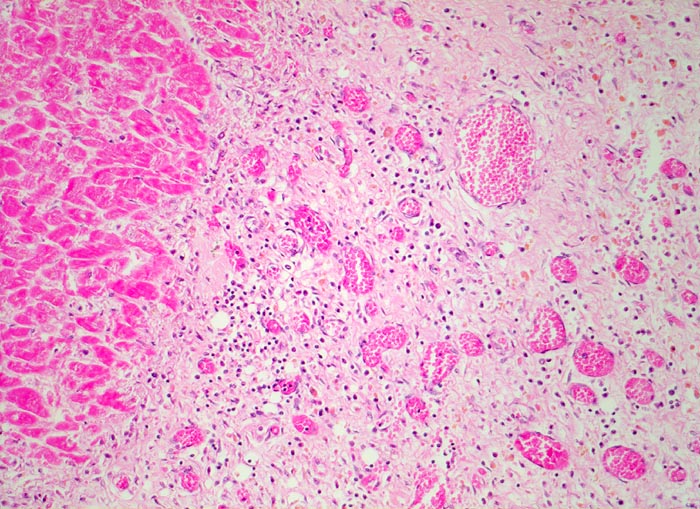
Beschreibung
Das Granulationsgewebe rechts im Bild besteht aus lockerem Bindegewebe, Kapillaren und gemischtem Entzündungsinfiltrat. Die hämosiderinhaltigen Makrophagen sind an ihrer gelben Farbe erkennbar. Links im Bild die Koagulationsnekrose mit schollig zerfallenen hypereosinophilen Myokardfasern.
Zusatzbefund
Ausgedehnter subakuter Myokardinfarkt von Hinterwand und Septum. Im Infarktrandbereich perakute Myokardnekrosen.
Klinik
Langjähriger insulinpflichtiger Diabetes mellitus mit koronarer Dreiasterkrankung. Akutes Infarktereignis vor 3 Wochen. Der Patient wird am Morgen tot im Bett aufgefunden.
Kommentar
Narbengewebe kann ebenfalls vaskularisiert sein. Für die Diagnose eines subakuten Infarktes muss das Granulationsgewebe auch Entzündungszellen enthalten.
Bilder Typ
Histologie
Vergrösserung
100
Alter
64
Geschlecht
männlich
Datum
Ersteintrag: 06.10.2002
Update: 04.02.2024