PathoPic – image database / PathoPic ID 4824 - Aspergilluspneumonie

de
Diagnose
Aspergilluspneumonie
Diagnose Gruppe
Entzündung infektiös
Topographie
Lunge
Topographie Gruppe
Lunge, Mediastinum mit Thymus
Beschreibung
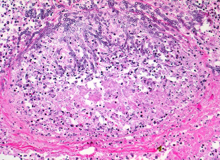
Gewebsnekrose durchsetzt von zerfallenden neutrophilen Granulozyten (die schwarzen Punkte entsprechen den Kerntrümmern der neutrophilen Granulozyten). In der Nekrose sind schlanke Pilzhyphen mit 45° Verzweigungen erkennbar.
Klinik
Seit 14 Monaten bekannte chronische lymphatische Leukämie behandelt mit Chemotherapie. Der Patient entwickelt unter Therapie eine Pneumonie und verstirbt an einer Pilzsepsis.
Bilder Typ
Histologie
Vergrösserung
200
Alter
69
Geschlecht
männlich
Datum
Ersteintrag: 05.05.2002
Update: 04.02.2024