PathoPic – image database / PathoPic ID 4828 - Echinococcus granulosus Brutkapsel

de
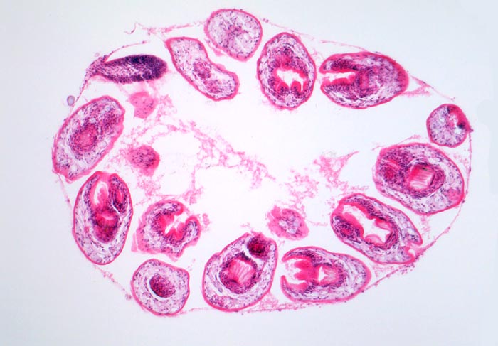
Diagnose
Echinococcus granulosus Brutkapsel
Diagnose Gruppe
Entzündung infektiös
Topographie
Lunge
Topographie Gruppe
Lunge, Mediastinum mit Thymus
Beschreibung
Brutkapsel mit Scolices (Bandwurmköfpen)
Klinik
Einwanderer aus der Türkei. Anlässlich der grenzsanitarischen Untersuchung wird im Thoraxröntgenbild ein zystischer Rundherd festgestellt. Die Verdachtsdiagnose einer Echinococcose wird serologisch bestätigt. Es wird eine Lungenteilresektion durchgeführt.
Bilder Typ
Histologie
Vergrösserung
100
Alter
29
Geschlecht
männlich
Datum
Ersteintrag: 08.05.2002
Update: 04.02.2024