PathoPic – image database / PathoPic ID 4830 - azinös-nodöse Lungentuberkulose

de
Diagnose
azinös-nodöse Lungentuberkulose
Diagnose Gruppe
Entzündung infektiös
Topographie
Lunge
Topographie Gruppe
Lunge, Mediastinum mit Thymus
Beschreibung
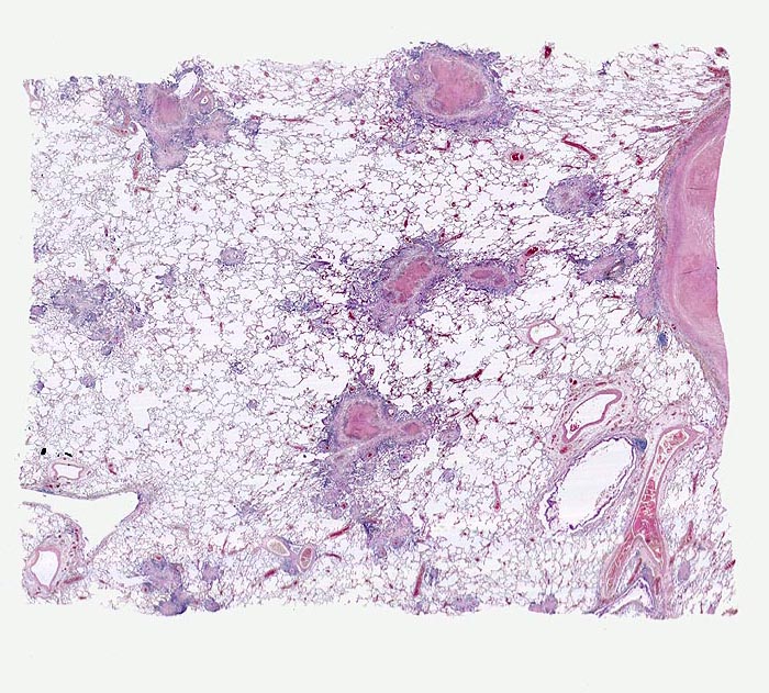
Die Granulome sind jeweils in unmittelbarer Umgebung einer Arterie lokalisiert. Die tuberkulösen Herde gehen aus von vollständig oder partiell entzündlich zerstörten Bronchiolen (bronchogene Streuung). Die Granulome bestehen aus einer zentralen käsigen Nekrose umgeben von einem helleren Epitheloidzellwall und ganz aussen einem blauen Saum von Lymphozyten.
Zusatzbefund
Autoptisch wird ein akuter Myokardinfarkt der Vorderwand diagnostiziert. In beiden Lungen fallen oberlappenbetonte knotige weisse, teils kleeblattartige Infiltrate auf und eine subapikal gelegene kleine Kaverne. Einzelne hiläre Lymphknoten der rechten Seite weisen Verkalkungen auf und bilden zusammen mit einem subpleural im Mittellappen gelegenen verkalkten Herd den abgeheilten Primärkomplex. In den käsigen Nekrosen können vereinzelte säurefeste Stäbchen nachgewiesen werden.
Klinik
Patient mit insulinpflichtigem Diabetes mellitus. Hospitalisation zur Behandlung einer PAVK. Während der Hospitalisation verstirbt der Patient an den Folgen eines Myokardinfarkts. Aufgrund der Autopsiediagnose wird eine Umgebungsuntersuchung eingeleitet.
Kommentar
Die chronische produktive azinös-nodöse Tuberkulose entwickelt sich, wenn bei bronchogener Keimstreuung die Abwehrlage gut ist. Das käsige Exsudat imponiert makroskopisch als kleeblattartige oder knotige weisse Herde, die dem bronchoalveolären System entsprechen.
Bilder Typ
Histologie
Vergrösserung
Scan
Alter
79
Geschlecht
männlich
Datum
Ersteintrag: 06.10.2002
Update: 04.02.2024