PathoPic – image database / PathoPic ID 4833 - Lungentuberkulose: verkäsendes Granulom

de
Diagnose
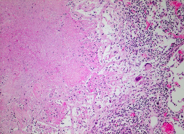
Lungentuberkulose: verkäsendes Granulom
Diagnose Gruppe
Entzündung infektiös
Topographie
Lunge
Topographie Gruppe
Lunge, Mediastinum mit Thymus
Beschreibung
Granulom mit zentraler verkäsender Nekrose gefolgt von einem Epitheloidzellwall mit Riesenzellen vom Langhanstyp und einem äusseren Saum von Lymphozyten.
Zusatzbefund
Autoptisch wird ein akuter Myokardinfarkt der Vorderwand diagnostiziert. In beiden Lungen fallen oberlappenbetonte knotige weisse, teils kleeblattartige Infiltrate auf und eine subapikal gelegene kleine Kaverne. Einzelne hiläre Lymphknoten der rechten Seite weisen Verkalkungen auf und bilden zusammen mit einem subpleural im Mittellappen gelegenen verkalkten Herd den abgeheilten Primärkomplex. In den käsigen Nekrosen können vereinzelte säurefeste Stäbchen nachgewiesen werden.
Klinik
Patient mit insulinpflichtigem Diabetes mellitus. Hospitalisation zur Behandlung einer PAVK. Während der Hospitalisation verstirbt der Patient an den Folgen eines Myokardinfarkts. Aufgrund der Autopsiediagnose wird eine Umgebungsuntersuchung eingeleitet.
Bilder Typ
Histologie
Vergrösserung
100
Alter
79
Geschlecht
männlich
Datum
Ersteintrag: 05.05.2002
Update: 04.02.2024