PathoPic – image database / PathoPic ID 4841 - autonomes Adenom

de
Diagnose
autonomes Adenom
Diagnose Gruppe
benigner Tumor
Topographie
Schilddrüse
Topographie Gruppe
Endokrinium
Beschreibung
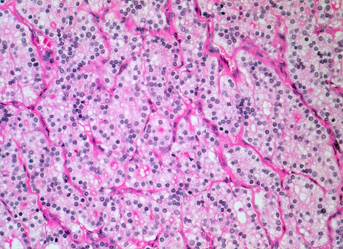
Die Follikel des endokrin aktiven Adenoms enthalten nur sehr wenig oder gar kein Kolloid. Die Zellen sind kubisch bis hochprismatisch und vielfach mehrreihig angeordnet.
Klinik
Die 52-jährige Patientin gibt an, in letzter Zeit vermehrt Herzpalpitationen verspürt zu haben. Zusätzlich sei ihr aufgefallen, dass sie nervöser geworden sei, teilweise sogar aggressiv. Sie stellte eine ungewollte Gewichtsabnahme fest.
In der insgesamt eher verkleinerten Schilddrüse ist ein solitärer nicht schmerzhafter Knoten palpabel. Sonographisch kann der klinische Befund bestätigt werden. Die Szintigraphie ergibt eine vermehrte Speicherung von 123-Iodid im Knoten. Freise T3 und T4 sind erhöht, das TSH ist erniedrigt.
Bilder Typ
Histologie
Vergrösserung
200
Alter
52
Geschlecht
unbekannt
Datum
Ersteintrag: 08.05.2002
Update: 04.02.2024