PathoPic – image database / PathoPic ID 4843 - follikuläres Schilddrüsenkarzinom

de
Diagnose
follikuläres Schilddrüsenkarzinom
Diagnose Gruppe
maligner Tumor
Topographie
Schilddrüse
Topographie Gruppe
Endokrinium
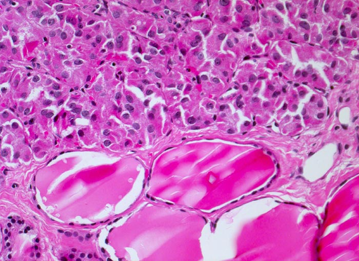
Beschreibung
Der Tumor grenzt stellenweise unmittelbar an das normale Parenchym. Der Tumorknoten besteht teils aus kleinen, unregelmässig konfigurierten, ungeordneten und englumigen Follikeln, teils aus kompakten epithelialen Arealen. Die Epithelzellen sind mässig stark polymorph und die Kerne sind deutlich grösser als die des angrenzenden Parenchyms.
Klinik
Seit zirka 10 Jahren ist beim Patienten eine Struma bekannt. Jetzt sucht er den Hausarzt auf, weil er den Eindruck hat, die Schilddrüse sei grösser geworden. In der Ultraschall-Untersuchung wird ein Knoten im rechten Schilddrüsenlappen festgestellt, der relativ scharf vom angrenzenden Gewebe abgesetzt ist. Die Feinnadelpunktion ergibt eine follikuläre Neoplasie; eine Unterscheidung zwischen einem follikulären Adenom und einem follikulären Karzinom ist zytologisch jedoch nicht möglich. Es wird eine Hemithyreoidektomie durchgeführt und nach der Diagnosestellung eines follikulären Karzinoms eine Resthyreoidektomie angeschlossen.
Kommentar
Für die Diagnose eines follikulären Karzinoms ist der Nachweis eines Kapseldurchbruchs bzw. einer Gefässinvasion obligat. Zytologische Merkmale sind nicht geeignet, ein follikuläres Adenom von einem Karzinom zu unterscheiden, sie unterstützen lediglich die Diagnose einer follikulären Neoplasie (Adenom oder Karzinom). Zelluläre Atypien können auch vorkommen nach Bestrahlung, bei entzündlichen Erkrankungen oder beim Morbus Basedow. Aus diesem Grund ist es nicht möglich, ein follikuläres Karzinom in einer Feinnadelpunktion zu diagnostizieren. Die Diagnose lautet in solchen Fällen "follikuläre Neoplasie".
Bilder Typ
Histologie
Vergrösserung
200
Alter
54
Geschlecht
männlich
Datum
Ersteintrag: 11.06.2002
Update: 04.02.2024