PathoPic – image database / PathoPic ID 4844 - Morbus Basedow

de
Diagnose
Morbus Basedow
Diagnose Gruppe
Systemerkrankung/Immunpathologie
Topographie
Schilddrüse
Topographie Gruppe
Endokrinium
Beschreibung
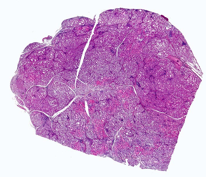
Lobuliertes Parenchym ohne Knoten. Ungleich grosse Schilddrüsenfollikel mit irregulären Lumina. Schon in der Übersicht sind knotige entzündliche Infiltrate erkennbar.
Klinik
Die Patientin klagt über Nervosität und Herzklopfen, die in letzter Zeit aufgetreten sind. Die Schilddrüse ist palpatorisch vergrössert. Die Laborbefunde und Szintigraphie bestätigen die klinische Vermutungsdiagnose einer Immunthyreopathie mit einer Hyperthyreose. Eine länger dauernde medikamentöse Therapie bringt keinen Erfolg. Deshalb wird die Indikation zu einer Thyreoidektomie gestellt.
Kommentar
Das normale Schilddrüsenparenchym ist lobuliert. Schmale Bindgewebssepten separieren die einzelnen Läppchen voneinander. Bei einer Vergrösserung der Schilddrüse ohne Knotenbildung spricht man von einer Struma diffusa.
Bilder Typ
Histologie
Vergrösserung
Scan
Alter
42
Geschlecht
unbekannt
Datum
Ersteintrag: 11.06.2002
Update: 04.02.2024