PathoPic – image database / PathoPic ID 4845 - Morbus Basedow

de
Diagnose
Morbus Basedow
Diagnose Gruppe
Systemerkrankung/Immunpathologie
Topographie
Schilddrüse
Topographie Gruppe
Endokrinium
Beschreibung
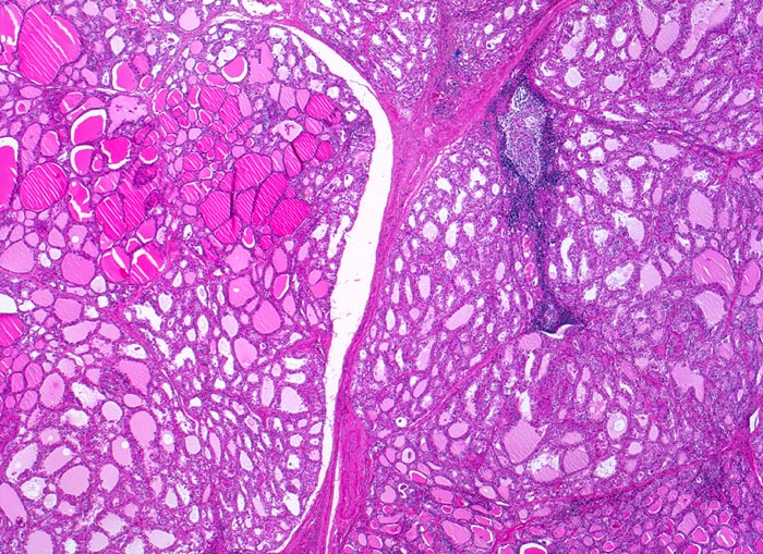
Zwischen den einzelnen Schilddrüsenläppchen verlaufen schmale Bindegewebssepten. Vereinzelt sind Lymphfollikel mit Keimzentren vorhanden. Das Parenchym ist auffallend inhomogen. Neben hormonell wenig aktiven grossen Follikeln mit flachem Epithel und dunklem Kolloid finden sich zahlreiche Follikel mit Zeichen der gesteigerten hormonellen Aktivität: hochprismatisches Epithel, helles oder fehlendes Kolloid.
Klinik
Die Patientin klagt über Nervosität und Herzklopfen, die in letzter Zeit aufgetreten sind. Die Schilddrüse ist palpatorisch vergrössert. Die Laborbefunde und Szintigraphie bestätigen die klinische Vermutungsdiagnose einer Immunthyreopathie mit einer Hyperthyreose. Eine länger dauernde medikamentöse Therapie bringt keinen Erfolg. Deshalb wird die Indikation zu einer Thyreoidektomie gestellt.
Kommentar
Das Vorhandensein von hormonell wenig aktiven Follikeln mit reichlich Kolloid beruht möglicherweise auf der vorausgegangenen thyreostatischen Therapie.
Bilder Typ
Histologie
Vergrösserung
25
Alter
42
Geschlecht
unbekannt
Datum
Ersteintrag: 11.06.2002
Update: 04.02.2024