PathoPic – image database / PathoPic ID 4846 - Morbus Basedow

de
Diagnose
Morbus Basedow
Diagnose Gruppe
Systemerkrankung/Immunpathologie
Topographie
Schilddrüse
Topographie Gruppe
Endokrinium
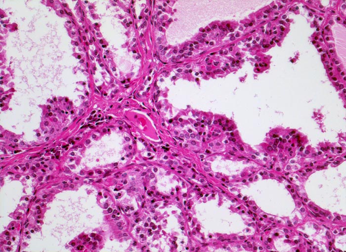
Beschreibung
Es fällt auf, dass die Follikel praktisch kein Kolloid enthalten. Zusätzlich sind sie teils entrundet. Das Epithel ist kubisch, teils zylindrisch und besitzt ein relativ helles Zytoplasma. Herdförmig ist das Epithel mehrschichtig (hyperplastisch) und bildet papillenähnliche Strukturen ( Sanderson'sches Polster).
Klinik
Die pseudopapillären Strukturen des hyperplastischen Epithels müssen von einem papillären Schilddrüsenkarzinom abegrenzt werden. Die Pseudopapillen der Struma Basedow weisen keinen Stromastiel auf und das Epithel zeigt nicht die typische Zytomorphologie papillärer Karzinome.
Bilder Typ
Histologie
Vergrösserung
50
Alter
42
Geschlecht
unbekannt
Datum
Ersteintrag: 06.10.2002
Update: 04.02.2024