Pathopic
HiPaKu
ZyPaKu
PathoBasic
PathoBasic Cytology
Quizzes
Projektinfos
PathoPic - Projekt- und Copyright-Infos
About
Pathopic
HiPaKu
ZyPaKu
PathoBasic
PathoBasic Cytology
Quizzes
PathoPic – image database
/
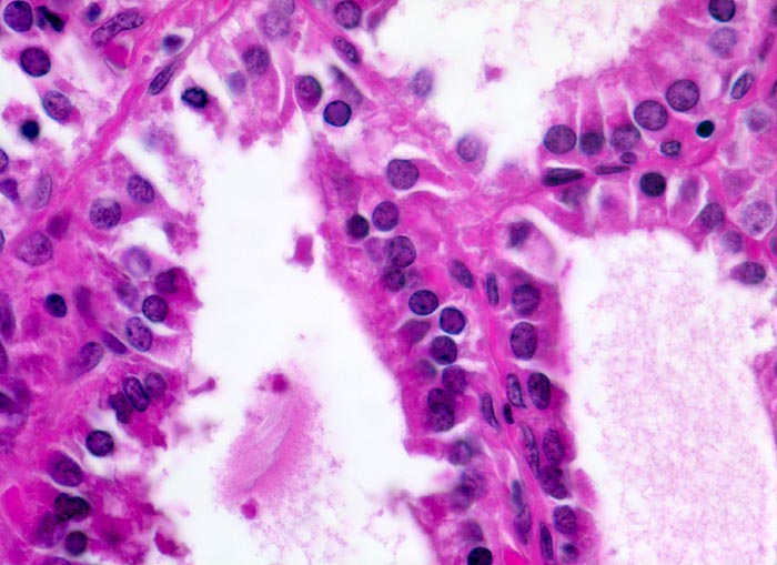
PathoPic ID 4848 - Morbus Basedow
de
Diagnose
Morbus Basedow
Diagnose Gruppe
Systemerkrankung/Immunpathologie
Topographie
Schilddrüse
Topographie Gruppe
Endokrinium
Beschreibung
Follikel ausgekleidet durch hochprismatisches Epithel mit grossen runden Zellkernen. Die Follikellumina enthalten praktisch kein Kolloid.
Bilder Typ
Histologie
Vergrösserung
630
Alter
42
Geschlecht
unbekannt
Datum
Ersteintrag: 11.06.2002
Update: 04.02.2024
CPS
·
©
2024 Institut für Pathologie Basel
/
Dr. med. Katharina Glatz-Krieger
.
·
v2.1