PathoPic – image database / PathoPic ID 4851 - medulläres Schilddrüsenkarzinom bei MEN 2A

de
Diagnose
medulläres Schilddrüsenkarzinom bei MEN 2A
Diagnose Gruppe
maligner Tumor
Topographie
Schilddrüse
Topographie Gruppe
Endokrinium
Beschreibung
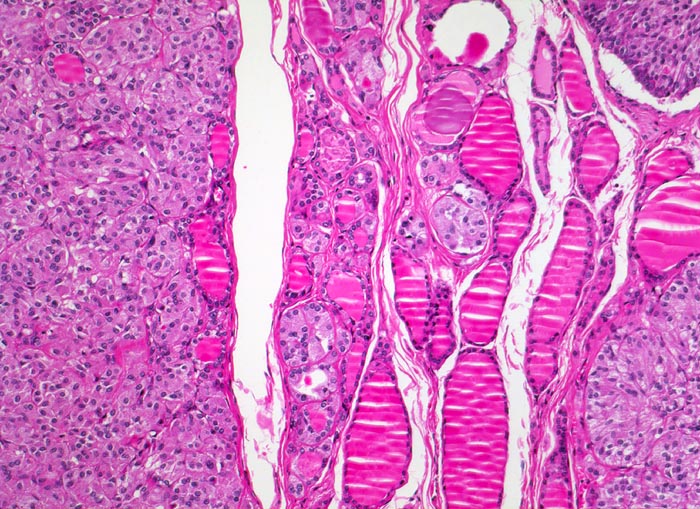
Überwiegend solide Tumorknoten aufgebaut aus relativ monomorphen Zellballen, zwischen denen schmale Bindegewebssepten verlaufen. Zwischen den Tumorknoten ist normales Schilddrüsenparenchym mit Herden von hyperplastischen C-Zellen erkennbar.
Zusatzbefund
Mehrere scharf begrenzte weisse Knoten in beiden Schilddrüsenlappen von bis zu 8mm Durchmesser.
Klinik
Beim Vater der Patientin wurde ein bilaterales Phäochromozytom diagnostiziert und in der Folge eine multiple endokrine Neoplasie vom Typ 2A. Im Familienscreening wurde bei der Patientin eine Mutation im Ret-Protoonkogen nachgewiesen und eine prophylaktische Thyreoidektomie durchgeführt.
Bilder Typ
Histologie
Vergrösserung
100
Alter
21
Geschlecht
unbekannt
Datum
Ersteintrag: 06.10.2002
Update: 04.02.2024