PathoPic – image database / PathoPic ID 4854 - medulläres Schilddrüsenkarzinom

de
Diagnose
medulläres Schilddrüsenkarzinom
Diagnose Gruppe
maligner Tumor
Topographie
Schilddrüse
Topographie Gruppe
Endokrinium
Beschreibung
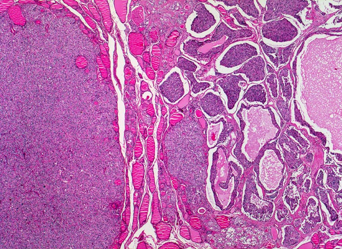
Solide, invasiv wachsende Tumorinfiltrate mit zystischen Hohlräumen. Stellenweise finden sich Inseln von Schilddrüsenparenchym innerhalb der Tumormasse.
Zusatzbefund
Mehrere scharf begrenzte weisse Knoten in beiden Schilddrüsenlappen von bis zu 8mm Durchmesser.
Klinik
Beim Vater der Patientin wurde ein bilaterales Phäochromozytom diagnostiziert und in der Folge eine multiple endokrine Neoplasie vom Typ 2A. Im Familienscreening wurde bei der Patientin eine Mutation im Ret-Protoonkogen nachgewiesen und eine prophylaktische Thyreoidektomie durchgeführt.
Bilder Typ
Histologie
Vergrösserung
25
Alter
21
Geschlecht
unbekannt
Datum
Ersteintrag: 06.10.2002
Update: 04.02.2024