PathoPic – image database / PathoPic ID 4856 - Phaeochromozytom

de
Diagnose
Phaeochromozytom
Diagnose Gruppe
Präneoplasie/ Atypie/ Dignität?
Topographie
Nebenniere
Topographie Gruppe
Endokrinium
Beschreibung
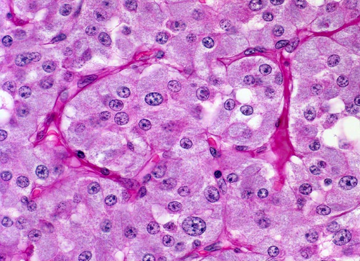
Dieser Bildausschnitt zeigt die typische Morphologie eines Paraganglioms: Das Tumorgewebe besteht aus «Zellballen», knotigen Anordnungen zytoplasmareicher Tumorzellen. Diese Knoten werden von zarten Bindegewebesepten mit kapillären Gefässen umgeben. Das Chromatin der rundlichen Kerne ist fein granuliert. Das basophile Zytoplasma enthält ebenfalls feine Granula.
Klinik
Der Patient klagt über rezidivierende Kopfschmerzen seit zirka zwei Monaten. In letzter Zeit hat er Alcacyl genommen, jedoch ohne Erfolg. Die Computertomographie des Abdomens zeigt einen 5cm grossen Tumor im Bereich der rechten Nebenniere. Die Familienanamnese für multiple endokrine Neoplasien (MEN) ist bland.
Kommentar
Das Phaeochromozytom gehört zur Gruppe der Paragangliome. Paraganglien sind Abkömmlinge von Zellen der Neuralleiste und sind assoziiert mit autonomen Ganglien. Dazu gehören auch das Nebennierenmark und die Chemorezeptoren. Paraganglien in allen Lokalisationen bestehen aus Zellballen, welche von einem feinen kapillären Maschenwerk umgeben werden. Entlang der Septen lassen sich immunhistochemisch mit Hilfe der S-100 Färbung Sustentacularzellen nachweisen, die in der HE Färbung nicht sicher abgrenzbar sind.
Bilder Typ
Histologie
Vergrösserung
400
Alter
36
Geschlecht
männlich
Datum
Ersteintrag: 11.06.2002
Update: 04.02.2024