PathoPic – image database / PathoPic ID 4859 - Phaeochromozytom

de
Diagnose
Phaeochromozytom
Diagnose Gruppe
Präneoplasie/ Atypie/ Dignität?
Topographie
Nebenniere
Topographie Gruppe
Endokrinium
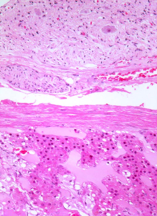
Beschreibung
Das Phaeochromozytom infiltriert die Nebennierenrinde. Die Nebenniere hat eine schmale bindegewebige Kapsel. Ganglion im periadrenalen Weichteilgewebe mit mehreren Ganglienzellen.
Klinik
Der Patient klagt über rezidivierende Kopfschmerzen seit zirka zwei Monaten. In letzter Zeit hat er Alcacyl genommen, jedoch ohne Erfolg. Die Computertomographie des Abdomens zeigt einen 5cm grossen Tumor im Bereich der rechten Nebenniere. Die Familienanamnese für multiple endokrine Neoplasien (MEN) ist bland.
Bilder Typ
Histologie
Vergrösserung
100
Alter
36
Geschlecht
männlich
Datum
Ersteintrag: 15.06.2002
Update: 04.02.2024