PathoPic – image database / PathoPic ID 4863 - Phaeochromozytom

de
Diagnose
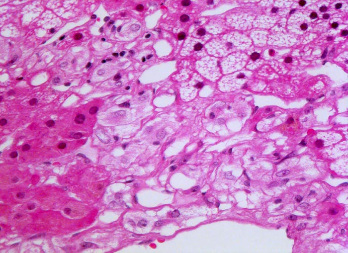
Phaeochromozytom
Diagnose Gruppe
Präneoplasie/ Atypie/ Dignität?
Topographie
Nebenniere
Topographie Gruppe
Endokrinium
Beschreibung
Basophile Tumorzellen, welche an normales Nebennierenmark erinnern infiltrieren die Zona fasciculata ( lipidreiche Zellen mit vakuolisiertem Zytoplasma) und die Zona reticularis ( lipofuscinhaltige Zellen).
Klinik
Der Patient klagt über rezidivierende Kopfschmerzen seit zirka zwei Monaten. In letzter Zeit hat er Alcacyl genommen, jedoch ohne Erfolg. Die Computertomographie des Abdomens zeigt einen 5cm grossen Tumor im Bereich der rechten Nebenniere. Die Familienanamnese für multiple endokrine Neoplasien (MEN) ist bland.
Bilder Typ
Histologie
Vergrösserung
320
Alter
36
Geschlecht
männlich
Datum
Ersteintrag: 11.06.2002
Update: 04.02.2024