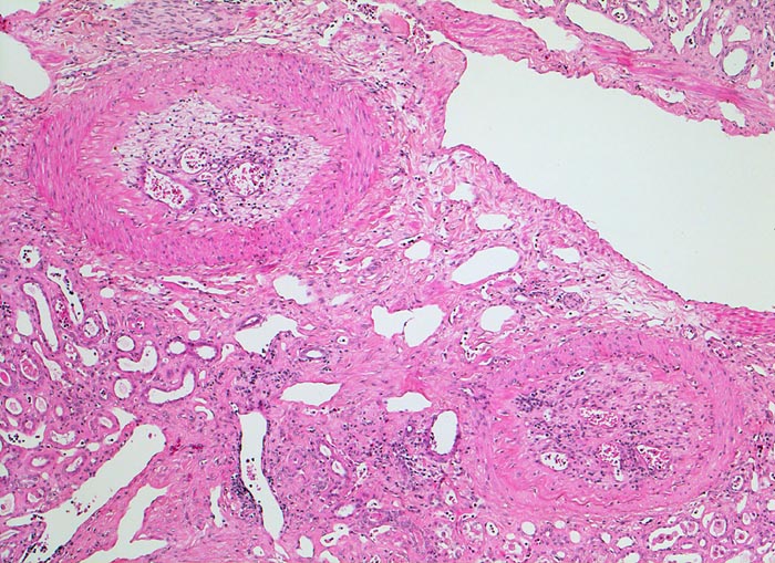
Diese intrarenalen Arterienäste weisen alte organisierte und durch kapilläre Gefässe rekanalisierte embolische Verschlüsse auf.
Klinik
Chronisches Vorhofflimmern mit Morbus embolicus: anämische Infarkte verschiedenen Alters in beiden Nieren und in der Milz. Alte abgebaute Enzephalomalazie im Versorgungsbereich der Arteria cerebri media rechts.
Kommentar
Die meisten Arterienverschlüsse in der Niere sind embolisch bedingt. Die Niere ist wegen ihrer starken Durchblutung oft von Embolien betroffen. Da die Niere durch Endarterien versorgt wird, handelt es sich um anämische Infarkte. Thrombotische Verschlüsse bei fortgeschrittener Atherosklerose (Diabetes mellitus) oder im Rahmen einer Vaskulitis sind selten.