PathoPic – image database / PathoPic ID 4867 - akuter Niereninfarkt mit hämorrhagischem Randsaum

de
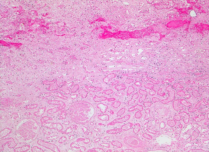
Diagnose
akuter Niereninfarkt mit hämorrhagischem Randsaum
Diagnose Gruppe
vaskulär / Durchblutungsstörung
Topographie
Niere
Topographie Gruppe
Niere, Harnwege
Beschreibung
Ausschnitt aus dem Randbereich der Koagulationsnekrose mit hämorrhagischem Randsaum (oben)
Klinik
Chronisches Vorhofflimmern mit Morbus embolicus: anämische Infarkte verschiedenen Alters in beiden Nieren und in der Milz. Alte abgebaute Enzephalomalazie im Versorgungsbereich der Arteria cerebri media rechts.
Bilder Typ
Histologie
Vergrösserung
50
Alter
81
Geschlecht
männlich
Datum
Ersteintrag: 11.06.2002
Update: 04.02.2024