PathoPic – image database / PathoPic ID 4868 - akuter Niereninfarkt: Koagulationsnekrose

de
Diagnose
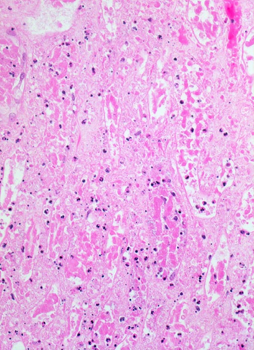
akuter Niereninfarkt: Koagulationsnekrose
Diagnose Gruppe
vaskulär / Durchblutungsstörung
Topographie
Niere
Topographie Gruppe
Niere, Harnwege
Beschreibung
Vollständig nekrotische Tubuli ohne erkennbare Zellkerne. Die Nekrose ist durchsetzt von zerfallenden neutrophilen Granulozyten. Die schwarzen Punkte entsprechen Kerntrümmern der Granulozyten.
Klinik
Chronisches Vorhofflimmern mit Morbus embolicus: anämische Infarkte verschiedenen Alters in beiden Nieren und in der Milz. Alte abgebaute Enzephalomalazie im Versorgungsbereich der Arteria cerebri media rechts.
Bilder Typ
Histologie
Vergrösserung
200
Alter
81
Geschlecht
männlich
Datum
Ersteintrag: 11.06.2002
Update: 04.02.2024