PathoPic – image database / PathoPic ID 4878 - Urothelkarzinom

de
Diagnose
Urothelkarzinom
Diagnose Gruppe
maligner Tumor
Topographie
Harnblase
Topographie Gruppe
Niere, Harnwege
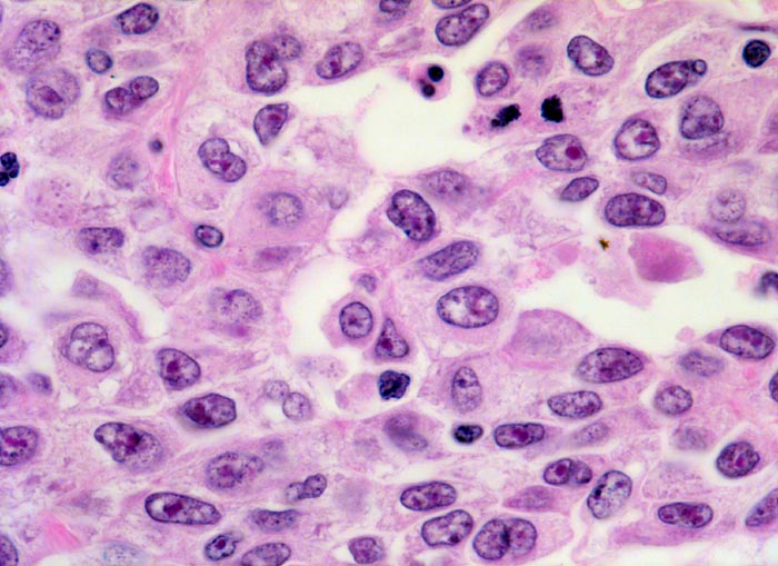
Beschreibung
Solider Tumorzellverband. Scharf begrenzte stark polymorphe Tumorzellen mit reichlich Zytoplasma und ausgeprägten Kernatypien. Die entrundeten Kerne enthalten vergrösserte eosinophile unregelmässig geformte Nukleolen. Das Chromatin ist vergröbert. Zwei Mitosen.
Klinik
Makrohämaturie. In der Harnblasenspülflüssigkeit werden Urothelien mit schweren Kernatypien vereinbar mit Urothelkarzinom nachgewiesen. Zystoskopisch kommt in der Hinterwand ein ulzerierter Tumor zur Darstellung. Die bioptische Abklärung ergibt Anteile eines wenig differenzierten Urothelkarzinoms mit ausgedehnten Nekrosen.
Kommentar
Gelegentlich enthalten kleine Biopsien aus einem Tumor lediglich nekrotische Tumoranteile. In solchen Fällen kann meist keine sichere Diagnose gestellt werden, da unter anderem die Kernbeurteilung als wichtiges Malignitätskriterium bei epithelialen Tumoren nicht möglich ist.
Bilder Typ
Histologie
Vergrösserung
630
Alter
81
Geschlecht
männlich
Datum
Ersteintrag: 11.06.2002
Update: 04.02.2024