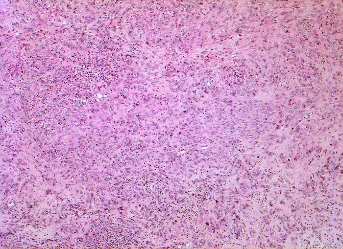
Solider Tumorzellverband mit fokalen Entzündungsinfiltraten.
Klinik
Chronische Niereninsuffizienz bei bekanntem jahrelangem Analgetikaabusus. Inoperables Urothelkarzinom der Harnblase. Weitere Urothelkarzinome in beiden Ureteren. Die Patientin stirbt am metastasierenden Tumorleiden.
(Der Fall liegt mehrere Jahre zurück).