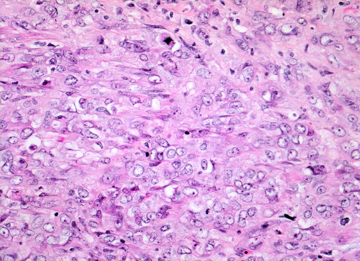
Klinik
Chronische Niereninsuffizienz bei bekanntem jahrelangem Analgetikaabusus. Inoperables Urothelkarzinom der Harnblase. Weitere Urothelkarzinome in beiden Ureteren. Die Patientin stirbt am metastasierenden Tumorleiden.
(Der Fall liegt mehrere Jahre zurück).