PathoPic – image database / PathoPic ID 4882 - Nicht invasives papilläres Urothelkarzinom pTa

de
Diagnose
Nicht invasives papilläres Urothelkarzinom pTa
Diagnose Gruppe
maligner Tumor
Topographie
Harnblase
Topographie Gruppe
Niere, Harnwege
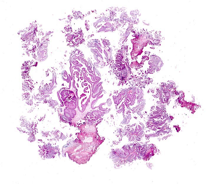
Beschreibung
Material einer transurethralen Resektion (TUR-B): multiple Fragmente eines papillären Tumors. Die fibrovaskulären Stromastiele werden von einem verbreiterten Urothel bedeckt. Die Grenzen zwischen Urothel und Stroma sind scharf und sprechen gegen ein invasives Tumorwachstum. Die Beurteilung einer möglichen Stromainvasion muss jedoch in einer stärkeren Vergrösserung erfolgen.
Klinik
Die zystoskopische Abklärung einer Makrohämaturie ergab einen papillären Tumor an der Blasenhinterwand. Der Tumor wird transurethral reseziert.
Bilder Typ
Histologie
Vergrösserung
Scan
Alter
53
Geschlecht
männlich
Datum
Ersteintrag: 13.06.2002
Update: 04.02.2024