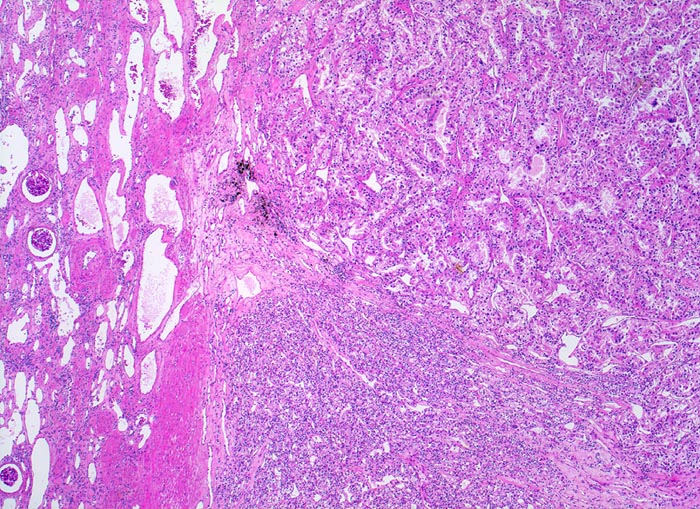
Die Grenze zwischen Karzinom und Nierenparenchym ist scharf und enthält zahlreiche erweiterte Gefässe. Das Karzinom bildet im oberen Anteil drüsige Strukturen, der untere Anteil erscheint solide.
Zusatzbefund
8cm grosser Tumor im Nierenoberpol. Bunte Schnittfläche mit multiplen gelben Knoten, ödematösem Stroma und Einblutungen, sowie fokaler Zystenbildung. Der Tumor infiltriert das Nierenbecken. Die Vena renalis ist tumorfrei.
Klinik
Wiederholte schmerzhafte Makrohämaturie. Im Urin werden Karzinomzellen nachgewiesen. Sonographisch und im Abdomen CT kommt ein Tumor im rechten Nierenoberpol zur Darstellung. Der Patient wird nephrektomiert.
Kommentar
Hellzellige Nierenzellkarzinome zeigen ein expansiv verdrängendes Wachstum an der Tumorinvasionsfront.