PathoPic – image database / PathoPic ID 4889 - hellzelliges Nierenzellkarzinom

de
Diagnose
hellzelliges Nierenzellkarzinom
Diagnose Gruppe
maligner Tumor
Topographie
Niere
Topographie Gruppe
Niere, Harnwege
Beschreibung
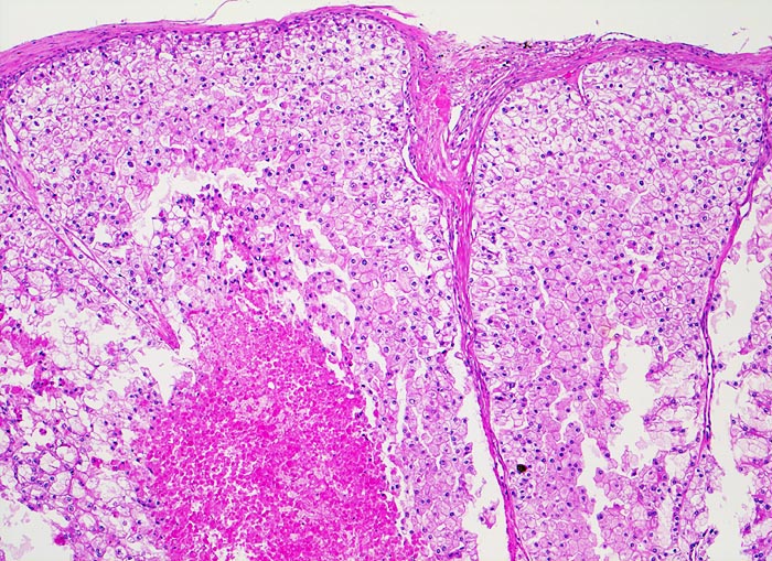
Das Karzinom bildet breite Trabekel aus planzenzellähnlichen Zellen mit reichlich klarem oder helleosinophilem Zytoplasma und deutlichen Zellgrenzen. Ausgedehnte Tumornekrose.
Zusatzbefund
8cm grosser Tumor im Nierenoberpol. Bunte Schnittfläche mit multiplen gelben Knoten, ödematösem Stroma und Einblutungen, sowie fokaler Zystenbildung. Der Tumor infiltriert das Nierenbecken. Die Vena renalis ist tumorfrei.
Klinik
Wiederholte schmerzhafte Makrohämaturie. Im Urin werden Karzinomzellen nachgewiesen. Sonographisch und im Abdomen CT kommt ein Tumor im rechten Nierenoberpol zur Darstellung. Der Patient wird nephrektomiert.
Kommentar
Der typische mikroskopische Aspekt hat dem hellzelligen (= klarzelligen) Nierenzellkarzinom seinen Namen verliehen. Das helle Zytopla kommt durch eine Akkumulation von Phospholipiden, Neutralfetten und Glykogen zustande.
Bilder Typ
Histologie
Vergrösserung
50
Alter
57
Geschlecht
männlich
Datum
Ersteintrag: 11.06.2002
Update: 04.02.2024