Diagnose
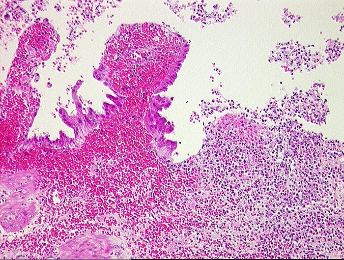
Hämorrhagische akute Cholezystitis
Diagnose Gruppe
Entzündung / Reparatur
Topographie Gruppe
Leber, Gallenwege, Pankreas
Beschreibung
Ulzerierte Gallenblasenschleimhaut mit frischen Einblutungen in der Lamina propria.
Klinik
Akute Cholezystitis.
Datum
Ersteintrag: 09.11.2001
Update: 04.02.2024