Pathopic
HiPaKu
ZyPaKu
PathoBasic
PathoBasic Cytology
Quizzes
Projektinfos
PathoPic - Projekt- und Copyright-Infos
About
Pathopic
HiPaKu
ZyPaKu
PathoBasic
PathoBasic Cytology
Quizzes
PathoPic – image database
/
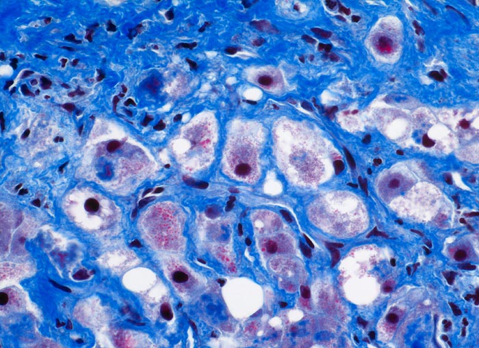
PathoPic ID 4947 - hochfloride chronische sklerosierende alkoholische Steatohepatitis
de
Diagnose
hochfloride chronische sklerosierende alkoholische Steatohepatitis
Diagnose Gruppe
Therapiefolgen
Topographie
Leber
Topographie Gruppe
Leber, Gallenwege, Pankreas
Beschreibung
Ausgeprägte perizelluläre Fibrose (=Maschendrahtfibrose), gemischte Entzündungszellen,
Mallory Körperchen und zahlreiche
Megamitochondrien.
Klinik
Alkoholabusus
Bilder Typ
Histologie
Vergrösserung
400
Alter
49
Geschlecht
männlich
Datum
Ersteintrag: 12.06.2002
Update: 04.02.2024
CPS
·
©
2024 Institut für Pathologie Basel
/
Dr. med. Katharina Glatz-Krieger
.
·
v2.1