Pathopic
HiPaKu
ZyPaKu
PathoBasic
PathoBasic Cytology
Quizzes
Projektinfos
PathoPic - Projekt- und Copyright-Infos
About
Pathopic
HiPaKu
ZyPaKu
PathoBasic
PathoBasic Cytology
Quizzes
PathoPic – image database
/
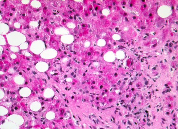
PathoPic ID 4948 - hochfloride chronische sklerosierende alkoholische Steatohepatitis
de
Diagnose
hochfloride chronische sklerosierende alkoholische Steatohepatitis
Diagnose Gruppe
Therapiefolgen
Topographie
Leber
Topographie Gruppe
Leber, Gallenwege, Pankreas
Beschreibung
Grobtropfige Parenchymverfettung. Zahlreiche
neutrophile Granulozyten infiltrieren das Parenchym.
Klinik
Alkoholabusus
Bilder Typ
Histologie
Vergrösserung
200
Alter
49
Geschlecht
männlich
Datum
Ersteintrag: 12.06.2002
Update: 04.02.2024
CPS
·
©
2024 Institut für Pathologie Basel
/
Dr. med. Katharina Glatz-Krieger
.
·
v2.1