PathoPic – image database / PathoPic ID 4949 - hochfloride chronische sklerosierende alkoholische Steatohepatitis

de
Diagnose
hochfloride chronische sklerosierende alkoholische Steatohepatitis
Diagnose Gruppe
Therapiefolgen
Topographie
Leber
Topographie Gruppe
Leber, Gallenwege, Pankreas
Beschreibung
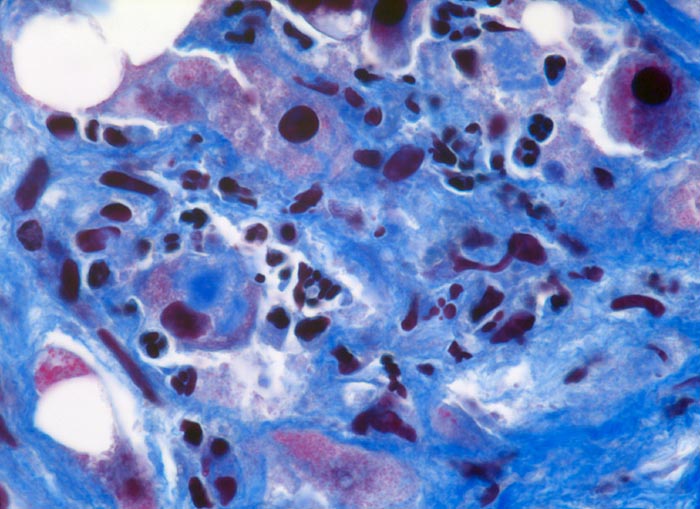
Neutrophile Granulozyten gruppieren sich um einen Hepatozyten mit einem Mallory Körperchen (sogenannte neutrophile Satellitose). Neben den Granulozyten finden sich auch mononukleäre Entzündungszellen. Ein Teil der Hepatozyten ist grobtropfig verfettet. Die roten intrazytoplasmatischen Kugeln entsprechen Megamitochondrien.
Klinik
Alkoholabusus
Bilder Typ
Histologie
Vergrösserung
630
Alter
49
Geschlecht
männlich
Datum
Ersteintrag: 12.06.2002
Update: 04.02.2024