PathoPic – image database / PathoPic ID 4964 - chronische Hepatitis C mit geringgradiger Aktivität

de
Diagnose
chronische Hepatitis C mit geringgradiger Aktivität
Diagnose Gruppe
Entzündung infektiös
Topographie
Leber
Topographie Gruppe
Leber, Gallenwege, Pankreas
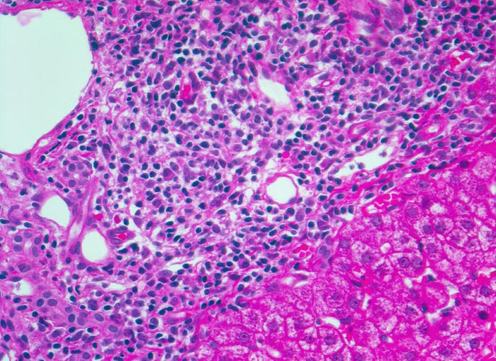
Beschreibung
Links im Bild Portalfeld mit starker Vermehrung von Lymphozyten mit kleinen runden Kernen und Plasmazellen mit exzentrisch gelegenen Kernen und basophilem Zytoplasma mit perinukleärer Aufhellung.
Zusatzbefund
Fibrose der Portalfelder mit portoportaler Septenbildung.
Klinik
Intravenöser Drogenabusus vor 10 Jahren. Damals Infektion mit dem Hepatitis C Virus.
Bilder Typ
Histologie
Vergrösserung
200
Alter
36
Geschlecht
männlich
Datum
Ersteintrag: 12.06.2002
Update: 04.02.2024