PathoPic – image database / PathoPic ID 497 - Amöben

de
Diagnose
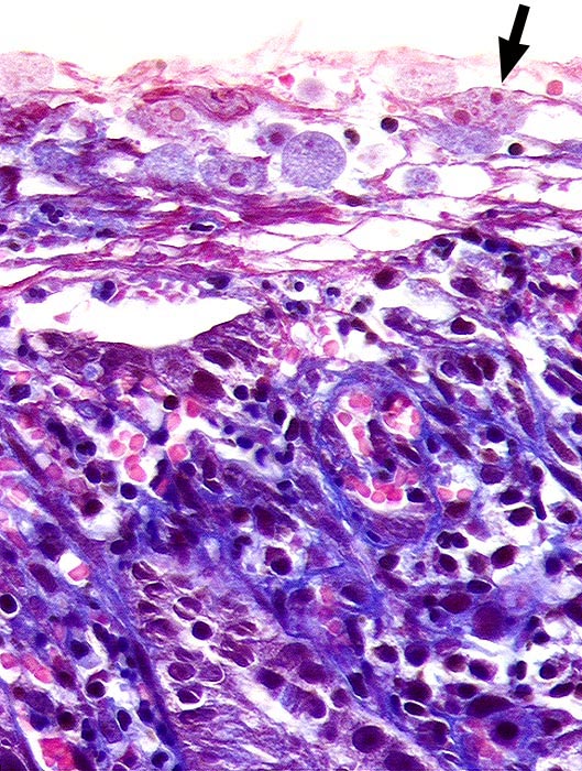
Amöben
Diagnose Gruppe
Entzündung infektiös
Topographie
Kolon
Topographie Gruppe
Darm, Anus
Beschreibung
Auf dem Oberflächenepithel liegen zahlreiche Amöben mit feinkörnigem hellblauem Zytoplasma. Ein Teil davon mit phagozytierten Erythrozyten.
Bilder Typ
Histologie
Geschlecht
weiblich
Datum
Ersteintrag: 09.11.2001
Update: 04.02.2024