PathoPic – image database / PathoPic ID 4983 - Tubulovillöses Adenom

de
Diagnose
Tubulovillöses Adenom
Diagnose Gruppe
Präneoplasie/ Atypie/ Dignität?
Topographie
Kolon descendens
Topographie Gruppe
Darm, Anus
Beschreibung
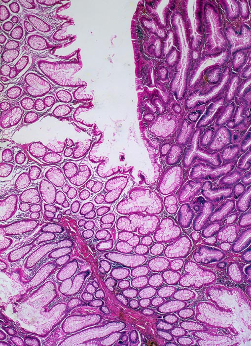
Links im Bild die normale Kolonschleimhaut. Rechts das Adenom, welches in diesem Anschnitt aus tubulären Drüsen besteht. Das Adenom ist aufgrund der grösseren atypischen Kerne und der verminderten Schleimproduktion deutlich dunkler gefärbt als die normale Kolonschleimhaut.
Klinik
Koloskopie wegen positivem Haemocculttest. Ein 5mm grosser gestielter Polyp im Colon descendens wird abgetragen.
Bilder Typ
Histologie
Vergrösserung
25
Alter
65
Geschlecht
männlich
Datum
Ersteintrag: 12.06.2002
Update: 04.02.2024