PathoPic – image database / PathoPic ID 4985 - mässig differenziertes Adenokarzinom

de
Diagnose
mässig differenziertes Adenokarzinom
Diagnose Gruppe
maligner Tumor
Topographie
Kolon Sigma
Topographie Gruppe
Darm, Anus
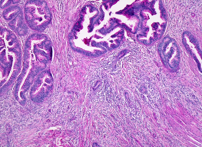
Beschreibung
Karzinomdrüsen mit komplexer Architektur in der Submukosa. Dichtes desmoplastisches Stroma und Entzündungszellen umgeben die Tumordrüsen.
Klinik
Der Patient wird wegen neu aufgetretener Obstipation abgeklärt. Koloskopisch kommt im Kolon sigmoideum ein polypoider, das Lumen stenosierender stark karzinomverdächtiger Herd zur Darstellung. Die Biopsie zeigt atypische Drüsen mit desmoplastischer Stromareaktion stark verdächtig auf ein invasives Karzinom. Da an der oberflächlichen Biopsie ein invasives Wachstum nicht nachgewiesen werden kann, lässt sich das Karzinom jedoch nicht beweisen. Es wird eine Sigmaresektion durchgeführt.
Kommentar
Das TNM System ist die weltweit am häufigsten verwendete Klassifikation für die Ausdehnung maligner Tumoren. Das TNM Stadium ist von prognostischer Relevanz.
Bilder Typ
Histologie
Vergrösserung
50
Alter
65
Geschlecht
männlich
Datum
Ersteintrag: 12.06.2002
Update: 04.02.2024