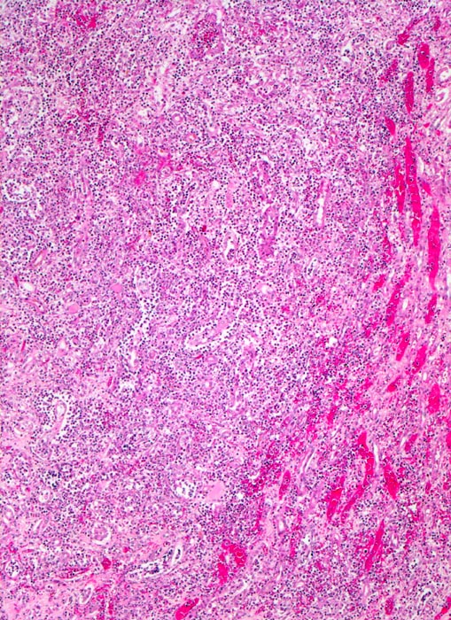
Destruktives streifenförmiges granulozytäres Infiltrat. Die Tubuli sind nicht mehr erkennbar. Am Rand des Infiltrates hyperämische Gefässe (makroskopisch gelber Herd mit rotem Randsaum).
Zusatzbefund
Uretero- und Nephrolithiasis
Klinik
Fieber mit Schüttelfrost, Übelkeit und Flankenschmerzen. Dysurie. Exsiccose.