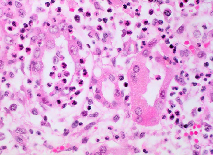
Neutrophile Granulozyten zerstören die Tubulusepithelien. Die Epithelzellen haben vergrösserte bläschenförmige Kerne mit prominenten Nukleolen ( reaktive Atypien). Das Interstitium wird infiltriert von neutrophilen Granulozyten, wenigen Histiozyten und vereinzelten Plasmazellen.
Zusatzbefund
Uretero- und Nephrolithiasis
Klinik
Fieber mit Schüttelfrost, Übelkeit und Flankenschmerzen. Dysurie. Exsiccose.
Kommentar
Für die Diagnose einer akuten Pyelonephritis (=destruktive interstititelle Nephritis) ist der Nachweis einer destruktiven Entzündung erforderlich. Eitergefüllte Tubuli und Sammelrohre finden sich häufig in der Niere und reichen nicht aus für die Diagnose einer akuten Pyelonephritis.