PathoPic – image database / PathoPic ID 4997 - membrano-proliferative Glomerulonephritis Typ I

de
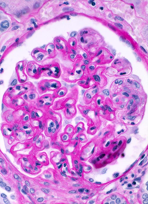
Diagnose
membrano-proliferative Glomerulonephritis Typ I
Diagnose Gruppe
Systemerkrankung/Immunpathologie
Topographie
Niere
Topographie Gruppe
Niere, Harnwege
Beschreibung
In diesem Glomerulus erscheint das Mesangium weder matrix- noch zellvermehrt. Die eingeengten Lumina der glomerulären Kapillarschlingen enthalten einzelne Monozyten und neutrophile Granulozyten. Die Basalmembranen der Kapillaren sind deutlich verdickt und erscheinen verdoppelt.
Klinik
Nephrotisches Syndrom, Mikrohämaturie und arterielle Hypertonie. Chronische Hepatitis C.
Bilder Typ
Histologie
Vergrösserung
400
Alter
24
Geschlecht
männlich
Datum
Ersteintrag: 12.06.2002
Update: 04.02.2024