PathoPic – image database / PathoPic ID 5002 - extrakapilläre Glomerulonephritis bei Morbus Wegener

de
Diagnose
extrakapilläre Glomerulonephritis bei Morbus Wegener
Diagnose Gruppe
Systemerkrankung/Immunpathologie
Topographie
Niere
Topographie Gruppe
Niere, Harnwege
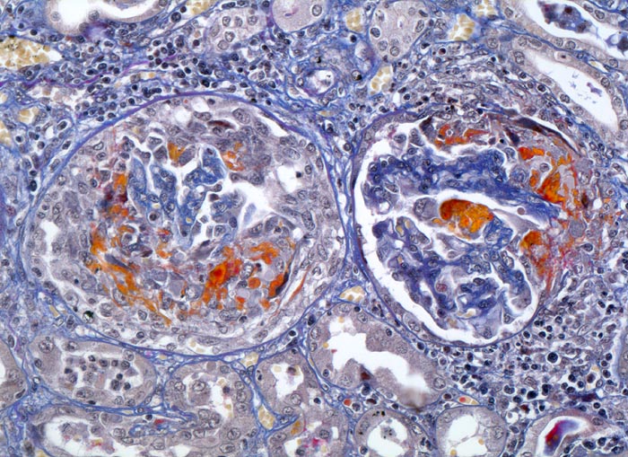
Beschreibung
Das Glomerulum links im Bild zeigt ausgedehnte Schlingennekrosen mit Exsudation von Fibrin und Ausbildung eines frischen rein proliferativen globalen Halbmondes. Das Glomerulum rechts im Bild zeigt frische Schlingennekrosen mit exsudiertem Fibrin. Kapselzellproliferate sind noch nicht vorhanden. Über der Schlingenruptur ist auch die Bowman'sche Kapsel rupturiert. An dieser Stelle findet sich eine periglomeruläre teils epitheloidzellige Entzündung.
Klinik
Rapid progressive Glomerulonephritis mit Entwicklung einer Oligurie innert weniger Tage. Fieber und Nachtschweiss. Chronische Sinusitis. cANCA erhöht.
Kommentar
Einteilung glomerulärer Läsionen:
bezogen auf die Gesamtzahl der Glomerula
- fokal (ein Teil der Glomerula betroffen)
- diffus (alle Glomerula betroffen)
bezogen auf das einzelne Glomerulum
- segmental (ein Teil der Kapillarschlingen betroffen)
- global (das ganze Glomerulum ist betroffen)
Bilder Typ
Histologie
Vergrösserung
200
Alter
59
Geschlecht
männlich
Datum
Ersteintrag: 06.10.2002
Update: 04.02.2024