PathoPic – image database / PathoPic ID 5009 - hyalintropfige Eiweissspeicherung in proximalen Tubuli

de
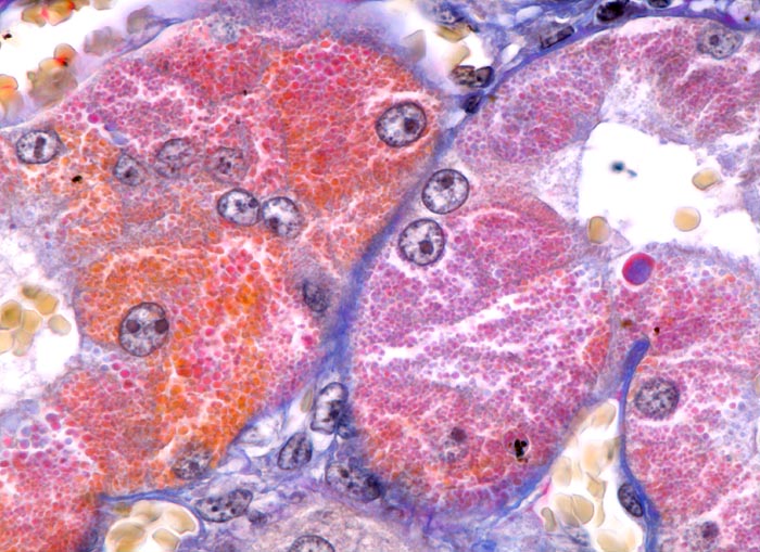
Diagnose
hyalintropfige Eiweissspeicherung in proximalen Tubuli
Diagnose Gruppe
Systemerkrankung/Immunpathologie
Topographie
Niere
Topographie Gruppe
Niere, Harnwege
Beschreibung
Proximale Tubulusquerschnitte zeigen eine intrazytoplasmatische Speicherung von Protein in Form unterschiedlich grosser hyaliner Tropfen (Phagolysosomen).
Klinik
Rapid progressive Glomerulonephritis mit Entwicklung einer Oligurie innert weniger Tage. Fieber und Nachtschweiss. Chronische Sinusitis. cANCA erhöht.
Kommentar
Die hyalintropfige Eiweisspeicherung findet sich ausschliesslich in proximalen Tubuli. Eine sichtbare Eiweissspeicherung ist Folge eines Überschreitens der lokalen Eiweisstransportkapazität des betreffenden Tubulus. Daher kommt die Eiweissspeicherung auch meist nur fokal vor. Klinisch muss nicht eine schwere Proteinurie bestehen. Jede Form von Minderdurchblutung (Schnocknieren, intravasale Gerinnung, Narben...) begünstigen eine proximal tubuläre Einweissspeicherung.
Bilder Typ
Histologie
Vergrösserung
630
Alter
59
Geschlecht
männlich
Datum
Ersteintrag: 12.06.2002
Update: 04.02.2024