PathoPic – image database / PathoPic ID 5011 - chronische Pyelonephritis

de
Diagnose
chronische Pyelonephritis
Diagnose Gruppe
Entzündung infektiös
Topographie
Niere
Topographie Gruppe
Niere, Harnwege
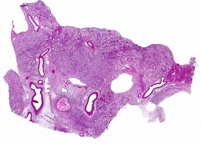
Beschreibung
Die Nierenoberfläche ist grobhöckrig deformiert aufgrund muldenförmiger narbiger Einziehungen und zwischen den Narbenbezirken vorgewölbten erhaltenen Parenchymabschnitten. Infolge reaktiver Gefässwandverdickung erscheinen die Gefässe auffallend prominent. Im angeschnitten Nierenbecken: "scholliges Harnmukoid".
Zusatzbefund
Makroskopisch ist die Nierenoberfläche grobhöckrig deformiert durch zahlreiche Narben mit teils rotem, teils weissem Grund. Beide Nieren sind verkleinert (Gewicht beider Nieren zusammen 180g). Das leicht ausgeweitete und gerötete Nierenbecken enthält mehrere kleine harte zackig begrenzte grauschwarze Kalziumoxalatsteine.
Klinik
Nephrolithiasis und wiederholte akute pyelonephritische Schübe beidseits. Arterielle Hypertonie.
Kommentar
Bei Fixation mit wasserbasierten Fixationslösungen (Formaldehyd) werden Harnsäurekristalle aus dem Gewebe herausgelöst. Dies kann verhindert werden, wenn das Gewebe mit absolutem Alkohol fixiert wird. Ein entsprechender klinischer Verdacht auf Gicht sollte deshalb im Biopsie-Anmeldeformular vermerkt werden, damit das geeignete Fixationsmittel gewählt werden kann.
Bilder Typ
Histologie
Vergrösserung
Scan
Alter
74
Geschlecht
unbekannt
Datum
Ersteintrag: 12.06.2002
Update: 04.02.2024