PathoPic – image database / PathoPic ID 5012 - chronische Pyelonephritis: Narbe mit Pseudostrumaherd

de
Diagnose
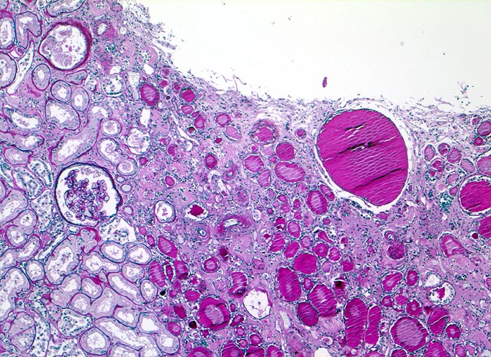
chronische Pyelonephritis: Narbe mit Pseudostrumaherd
Diagnose Gruppe
Entzündung infektiös
Topographie
Niere
Topographie Gruppe
Niere, Harnwege
Beschreibung
Streifenförmige Narbe rechts im Bild mit Einziehung der Nierenoberfläche. Die Narbe grenzt unmittelbar an weitgehend unauffälliges Parenchym links im Bild. Die Narbe besteht aus dilatierten Tubuli mit abgeflachtem Epithel. Die Tubuli sind gefüllt mit eingedicktem kolloidartigem Sekret. Daraus ergibt sich ein schilddrüsenartiges Bild (sogenannte Struma renalis oder Pseudostrumaherd).
Zusatzbefund
Makroskopisch ist die Nierenoberfläche grobhöckrig deformiert durch zahlreiche Narben mit teils rotem, teils weissem Grund. Beide Nieren sind verkleinert (Gewicht beider Nieren zusammen 180g). Das leicht ausgeweitete und gerötete Nierenbecken enthält mehrere kleine harte zackig begrenzte grauschwarze Kalziumoxalatsteine.
Klinik
Nephrolithiasis und wiederholte akute pyelonephritische Schübe beidseits. Arterielle Hypertonie.
Kommentar
Das Pseudostrumabild ist unspezifisch und findet sich auch in vaskulären Narben. Die beschreibende Diagnose einer Struma renalis ist nur dann zulässig, wenn die sekrethaltigen Tubuli im Vergleich zum umgebenden erhaltenen Parenchym ausgeweitet sind. Das intraluminale Sekret besteht aus Tamm-Horsefall Protein und IgA.
Bilder Typ
Histologie
Vergrösserung
50
Alter
74
Geschlecht
unbekannt
Datum
Ersteintrag: 13.06.2002
Update: 04.02.2024