PathoPic – image database / PathoPic ID 5013 - chronische Pyelonephritis: pyelonephritische Narbe

de
Diagnose
chronische Pyelonephritis: pyelonephritische Narbe
Diagnose Gruppe
Entzündung infektiös
Topographie
Niere
Topographie Gruppe
Niere, Harnwege
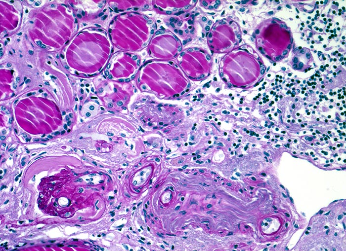
Beschreibung
Oben im Bild Anschnitt eines Pseudostrumaherdes bestehend aus leicht dilatierten Tubuli mit abgeflachtem Epithel. Die Tubuli sind gefüllt mit eingedicktem kolloidartigem Sekret. Chronisches überwiegend lymphozytäres Entzündungsinfiltrat. Kleine Arterie mit massiver adaptativer Intimafibrose und daraus resultierender Stenosierung der Gefässlumina. Glomerulus mit kollabierten Kapillarschlingen und verdickter Bowman'scher Kapsel.
Zusatzbefund
Makroskopisch ist die Nierenoberfläche grobhöckrig deformiert durch zahlreiche Narben mit teils rotem, teils weissem Grund. Beide Nieren sind verkleinert (Gewicht beider Nieren zusammen 180g). Das leicht ausgeweitete und gerötete Nierenbecken enthält mehrere kleine harte zackig begrenzte grauschwarze Kalziumoxalatsteine.
Klinik
Nephrolithiasis und wiederholte akute pyelonephritische Schübe beidseits. Arterielle Hypertonie.
Bilder Typ
Histologie
Vergrösserung
200
Alter
74
Geschlecht
unbekannt
Datum
Ersteintrag: 13.06.2002
Update: 04.02.2024