PathoPic – image database / PathoPic ID 5014 - chronische Pyelonephritis

de
Diagnose
chronische Pyelonephritis
Diagnose Gruppe
Entzündung infektiös
Topographie
Niere
Topographie Gruppe
Niere, Harnwege
Beschreibung
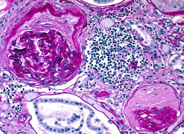
Zwei Glomerula mit kollabierten Kapillarschlingen. Der $o{qr8017476Kapselraum} Kapselraum ist ausgefüllt von sklerosiertem schwach PAS positivem Material (wahrscheinlich Rückstau und Organisation von Tamm Horsfall Protein im Bowman'schen Kapselraum). Die Kapselbasalmembran ist aufgesplittert. Überwiegend lymphozytäres interstitielles Entzündungsinfiltrat.
Zusatzbefund
Makroskopisch ist die Nierenoberfläche grobhöckrig deformiert durch zahlreiche Narben mit teils rotem, teils weissem Grund. Beide Nieren sind verkleinert (Gewicht beider Nieren zusammen 180g). Das leicht ausgeweitete und gerötete Nierenbecken enthält mehrere kleine harte zackig begrenzte grauschwarze Kalziumoxalatsteine.
Klinik
Nephrolithiasis und wiederholte akute pyelonephritische Schübe beidseits. Arterielle Hypertonie.
Bilder Typ
Histologie
Vergrösserung
200
Alter
74
Geschlecht
unbekannt
Datum
Ersteintrag: 31.10.2002
Update: 04.02.2024