PathoPic – image database / PathoPic ID 5015 - chronische Pyelonephritis

de
Diagnose
chronische Pyelonephritis
Diagnose Gruppe
Entzündung infektiös
Topographie
Niere
Topographie Gruppe
Niere, Harnwege
Beschreibung
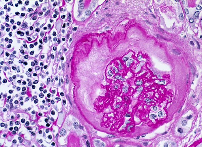
Glomerulum mit vollständig kollabierten Kapillarschlingen. Die Kapselbasalmembran ist aufgesplittert und verbreitert. Interstitielles überwiegend lymphozytäres Entzündungsinfiltrat mit Beimischung von Histiozyten.
Zusatzbefund
Makroskopisch ist die Nierenoberfläche grobhöckrig deformiert durch zahlreiche Narben mit teils rotem, teils weissem Grund. Beide Nieren sind verkleinert (Gewicht beider Nieren zusammen 180g). Das leicht ausgeweitete und gerötete Nierenbecken enthält mehrere kleine harte zackig begrenzte grauschwarze Kalziumoxalatsteine.
Klinik
Nephrolithiasis und wiederholte akute pyelonephritische Schübe beidseits. Arterielle Hypertonie.
Bilder Typ
Histologie
Vergrösserung
400
Alter
74
Geschlecht
unbekannt
Datum
Ersteintrag: 13.06.2002
Update: 04.02.2024