extrakapilläre Glomerulonephritis bei Morbus Wegener
Diagnose Gruppe
Systemerkrankung/Immunpathologie
Topographie
Niere
Topographie Gruppe
Niere, Harnwege
Beschreibung
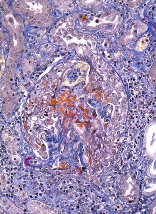
Glomerulum mit Harnpol und Gefässpol mit geringer Arteriolosklerose des Vas afferens. Ausgedehnte Schlingennekrosen mit Exsudation von Fibrin und Ausbildung eines frischen rein proliferativen globalen Halbmondes. Einzelne erhaltene Schlingen sind ausgeweitet. Über der Schlingenruptur ist auch die Bowman'sche Kapsel rupturiert. An dieser Stelle findet sich eine periglomeruläre chronische Entzündung.
Klinik
Rapid progressive Glomerulonephritis mit Entwicklung einer Oligurie innert weniger Tage. Fieber und Nachtschweiss. Chronische Sinusitis. cANCA erhöht.