PathoPic – image database / PathoPic ID 5019 - Tubulovillöses Adenom

de
Diagnose
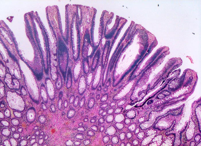
Tubulovillöses Adenom
Diagnose Gruppe
Präneoplasie/ Atypie/ Dignität?
Topographie
Kolon descendens
Topographie Gruppe
Darm, Anus
Beschreibung
In diesem Bildausschnitt dominieren die villösen Anteile des Adenoms mit fingerförmigen langgezogenen verzweigten Drüsen.
Klinik
Koloskopie wegen positivem Haemocculttest. Ein 5mm grosser gestielter Polyp im Colon descendens wird abgetragen.
Bilder Typ
Histologie
Vergrösserung
40
Alter
65
Geschlecht
männlich
Datum
Ersteintrag: 13.06.2002
Update: 04.02.2024