Pathopic
HiPaKu
ZyPaKu
PathoBasic
PathoBasic Cytology
Quizzes
Projektinfos
PathoPic - Projekt- und Copyright-Infos
About
Pathopic
HiPaKu
ZyPaKu
PathoBasic
PathoBasic Cytology
Quizzes
PathoPic – image database
/
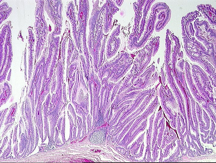
PathoPic ID 502 - Villöses Adenom
de
Tumorstadium
Diagnose
Villöses Adenom
Diagnose Gruppe
Präneoplasie/ Atypie/ Dignität?
Topographie
Kolon Rektum
Topographie Gruppe
Darm, Anus
Beschreibung
Villöser Tumor.
Bilder Typ
Histologie
Alter
71
Geschlecht
männlich
Datum
Ersteintrag: 12.11.2001
Update: 04.02.2024
CPS
·
©
2024 Institut für Pathologie Basel
/
Dr. med. Katharina Glatz-Krieger
.
·
v2.1