PathoPic – image database / PathoPic ID 5020 - Tubulovillöses Adenom

de
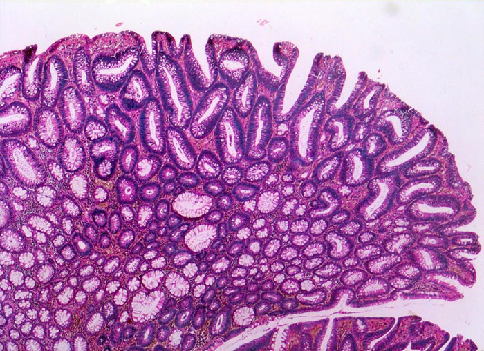
Diagnose
Tubulovillöses Adenom
Diagnose Gruppe
Präneoplasie/ Atypie/ Dignität?
Topographie
Kolon descendens
Topographie Gruppe
Darm, Anus
Beschreibung
Tubuläre Anteile des Adenoms.
Klinik
Koloskopie wegen positivem Haemocculttest. Ein 5mm grosser gestielter Polyp im Colon descendens wird abgetragen.
Bilder Typ
Histologie
Vergrösserung
40
Alter
65
Geschlecht
männlich
Datum
Ersteintrag: 13.06.2002
Update: 04.02.2024