PathoPic – image database / PathoPic ID 5026 - verhornendes Plattenepithelkarzinom des Ösophagus

de
Diagnose
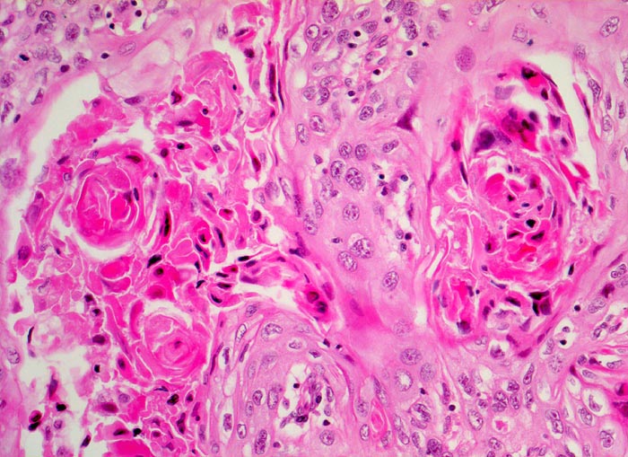
verhornendes Plattenepithelkarzinom des Ösophagus
Diagnose Gruppe
maligner Tumor
Topographie
Oesophagus, distal
Topographie Gruppe
Oesophagus, Magen
Beschreibung
Vor allem in oberflächlichen Karzinomanteilen bildet der Tumor Hornperlen. Die Tumorzellen zeigen hier reichlich eosinophiles bis hypereosinophiles Zytoplasma. Die vergrösserten Kerne haben vergröbertes Chromatin.
Klinik
Jahrelanger Nikotin- und Ethylabusus. Vor 6 Monaten ergab die Abklärung wegen progredienter Dysphagie ein inoperables stenosierendes Karzinom im distalen Ösophagus. Der Patient verstirbt am Tumorleiden.
Bilder Typ
Histologie
Vergrösserung
200
Alter
60
Geschlecht
männlich
Datum
Ersteintrag: 13.06.2002
Update: 04.02.2024