Diagnose
verhornendes Plattenepithelkarzinom des Ösophagus
Diagnose Gruppe
maligner Tumor
Topographie
Oesophagus, distal
Topographie Gruppe
Oesophagus, Magen
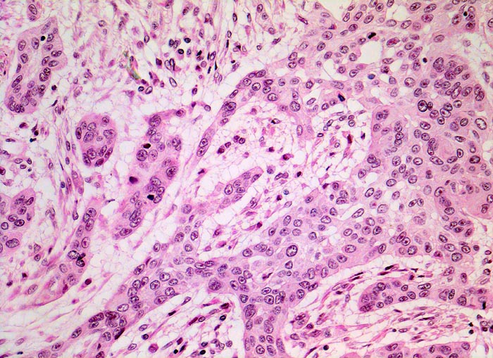
Beschreibung
Der Tumor bildet anastomosierende Zellstränge. In diesem Bildausschnitt ist keine Verhornung erkennbar. Die Tumorzellen sind mässig polymorph und die Kern-Zytoplasma Relation ist deutlich zu Gunsten des Kerns verschoben. Zwischen den Zellsträngen lockeres Tumorstroma.
Klinik
Jahrelanger Nikotin- und Ethylabusus. Vor 6 Monaten ergab die Abklärung wegen progredienter Dysphagie ein inoperables stenosierendes Karzinom im distalen Ösophagus. Der Patient verstirbt am Tumorleiden.
Datum
Ersteintrag: 13.06.2002
Update: 04.02.2024