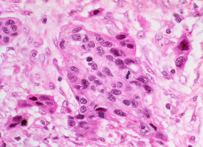
Im Bereich der Tumorinvasionsfront ist das Karzinom deutlich schlechter differenziert. Neben grösseren Zellplatten hat es auch kleine Aggregate und ausserhalb eines Tumorzellverbandes liegende Einzelzellen. Das Zytoplasma ist basophil und mengenmässig deutlich reduziert. Die Tumorzellkerne sind polymorph, entrundet, hyperchromatisch und unregelmässig begrenzt. Zum Teil sind vergrösserte unregelmässig geformte Nukleolen erkennbar. Mehrere Mitosen.
Klinik
Jahrelanger Nikotin- und Ethylabusus. Vor 6 Monaten ergab die Abklärung wegen progredienter Dysphagie ein inoperables stenosierendes Karzinom im distalen Ösophagus. Der Patient verstirbt am Tumorleiden.